Saltar pie de página

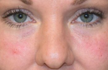
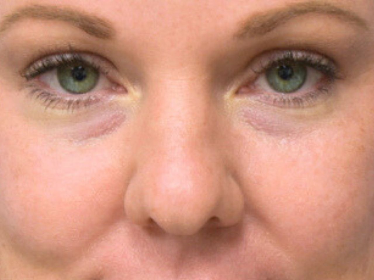
Start Your Transformation Today

In Person or Virtual Consultation Available

Avabello Aesthetics

Dirección

555 Washington Ave Suite 360
Miami Beach, FL 33139

Teléfono

(305) 798-4656

Horario de apertura

De lunes a viernes de 10:00 a 19:00
Sábado y domingo: cerrado

Síguenos

En persona Llamar (305) 798-4656